환자중심 치과
365서울원탑치과
365서울원탑치과의원은
정직한 진료로 환자를 위한
선택만을 합니다.
365 Seoul OneTop Dental Clinic
stands for honest,
patient-centered care.
오직 환자를 위한 선택만을
고집하며,
치과 치료의 본질을
지켜온 2인의 대표원장이
그 가치를
지켜갑니다.
Honest care.
Patient-first decisions.
365서울원탑치과
-
+
임플란트 수술 -
0 +
임상 경력 -
0 %
환자만족도

통합치의학과전문의
권재원 임플란트 대표원장

통합치의학과전문의
김근일 임플란트 대표원장
원탑 의료진
완성도 높은 임플란트를 위한 분과별 의료진,
결과로 증명하는 치과 의사입니다.
풍부한 임상 경험을 갖춘
각 분야 전문의들의
공동진료로
치료의 깊이를 더합니다.
Precision Implant
Dentistry for
Lifelong Confidence
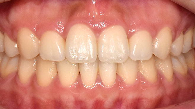
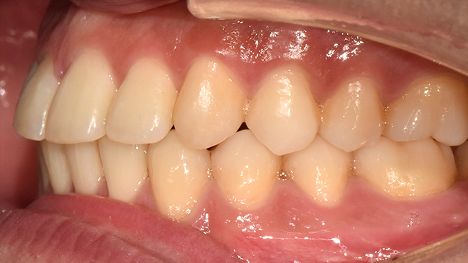
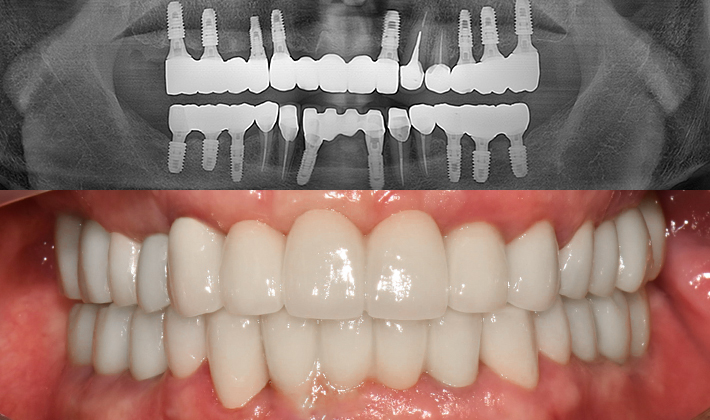
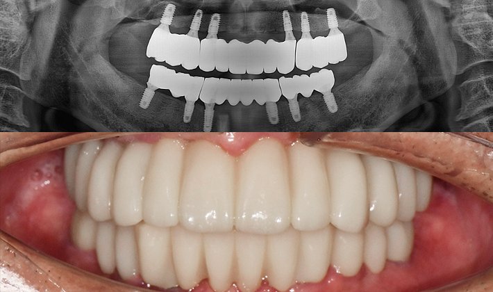
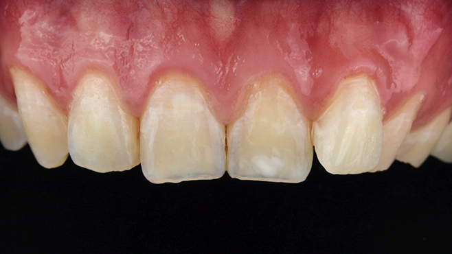
5060 시니어 임플란트
건강하고 오래가는 시니어 임플란트,
치료 사례부터 남다릅니다.
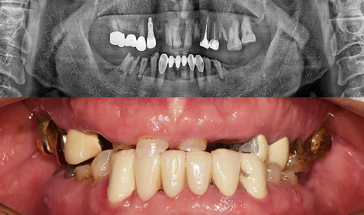
before
after
※ 위 임상사진은 동일조건으로 촬영되었으며, 사진에 대한 별도의 조작이 처리되지 않았습니다.
※ 위 임상사진 및 포트레이트는 환자와의 포괄적인 초상권 계약 이후 사용하고 있습니다.
※ 수술 및 치료과정에서 부작용이 발생할 수 있으므로 충분한 상담과 신중한 판단이 요구됩니다.
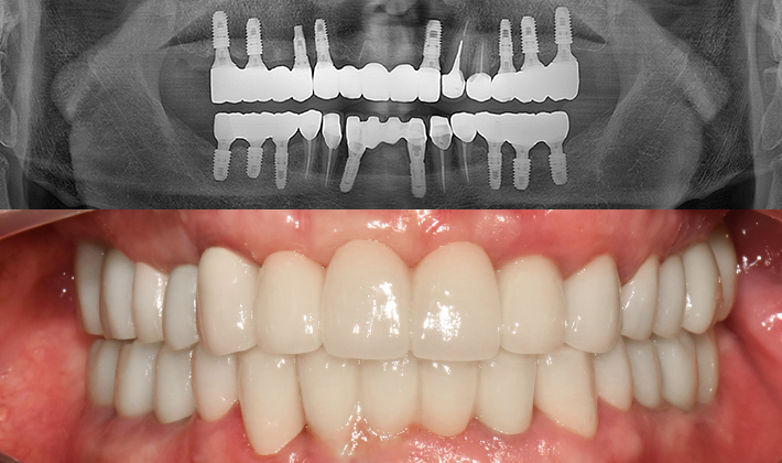
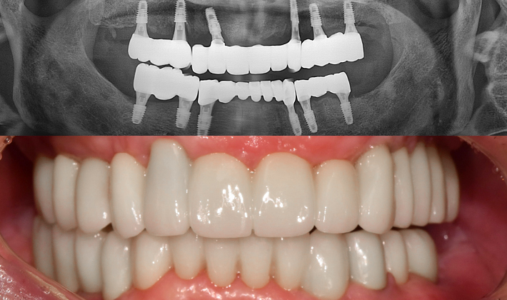
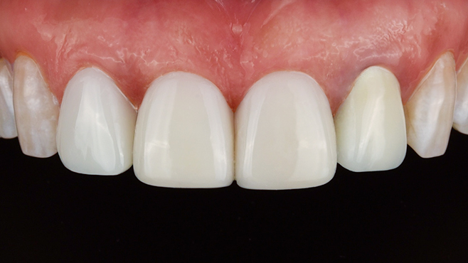
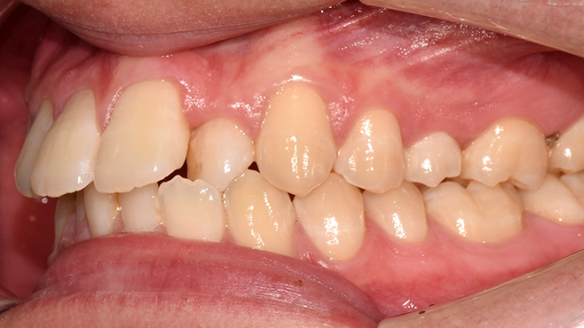
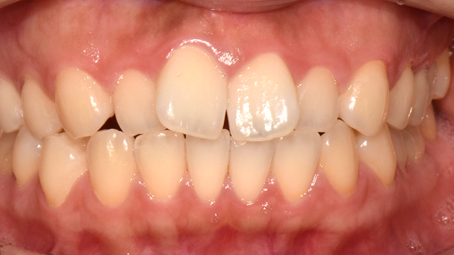
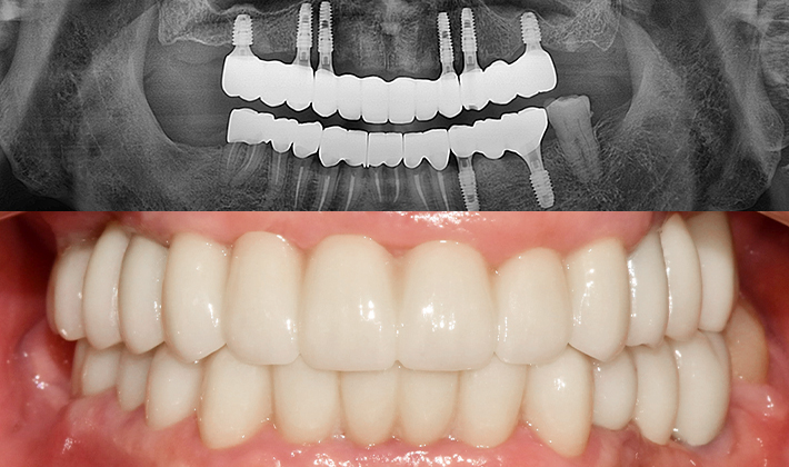
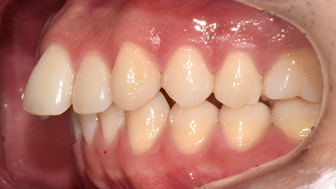
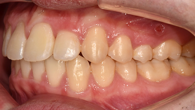
실제 치료 사례
수많은 환자들이 고민 끝에 선택한 치료,
그리고 그 후의 놀라운 변화
- ※ 위 임상사진은 365서울원탑치과에서 진료를 시작하고 마친 동일한 환자의 사진입니다.
- ※ 위 임상사진은 동일한 장소에서 동일한 조건으로 촬영되었으며, 사진에 대한 별도의 조작이 처리되지 않았습니다.
- ※ 수술 및 치료 과정에서 부작용이 발생할 수 있으므로 의료진과의 충분한 상담과 신중한 판단이 요구됩니다.
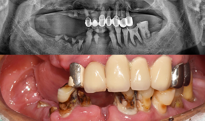
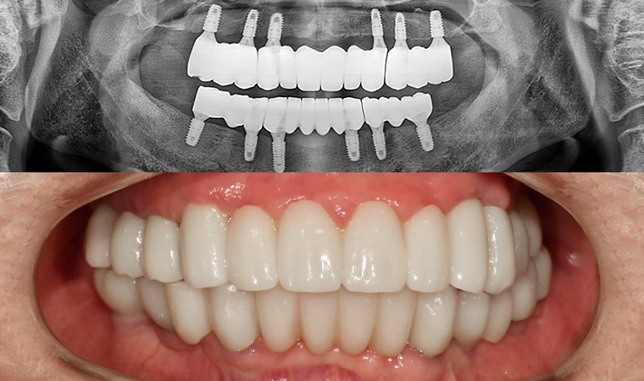
환자를 향한 진심,
완성도 높은 결과
환자의 상태를 세심하게 살피고,
글로벌 스탠다드에
맞춘
진단과
치료 과정을 통해 보다 안전하고
완성도
높은 결과를 만듭니다.
미디어
미디어 속 365서울원탑치과를
만나보세요.
병원소식
365서울원탑치과의
다양한 소식을 들려 드립니다.
멀어도 올 수밖에 없는 치과,
국내를 넘어 해외까지
국내 환자는 물론 해외 환자들에게도
신뢰할 수 있는
고품질의 의료 서비스를 제공합니다.









