아름다운 얼굴 라인,
근본에 집중합니다.
치아교정은 오랜 시간과
많은 비용이 투자되는 치료입니다.
따라서 신뢰할 수 있는 의료진에게
치료받는 것이 무엇보다 중요합니다.
365서울원탑치과는 단순한 치열 개선이 아닌,
당신의
변화를 확실한 결과로 증명하겠습니다.
365서울원탑치과는
서울대학교 치과 교정과 전문의한경재 원장님이 상주하여
교정의 시작부터
마무리까지 변동 없이 직접 치료합니다.
정확하고 세심한 맞춤형 진단과 치료로 이상적인 교합과 만족스러운 결과를 이끌어냅니다.
STEP 01
의과대학+
의학전문대학원
STEP 02
치과의사
국가고시 합격
STEP 03
인턴 1년
STEP 04
레지던트 3년
STEP 05
전문의 시험 합격
STEP 06
교정 전문의
상담을 통한 치아 상태,
구강 상태 확인
디지털 장비를 활용해
정밀 검사 진행
검사 결과 분석 및 전체적인
교정 치료 계획
전문 상담 후 자신에게 맞는
치료 방법 선택
교정 장치 장착 후
순차적인 치료 진행
교정 장치 제거 후
치료 종료
유지 장치 착용 및
지속적인 치아 관리

Honest care.
Patient-first decisions.
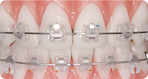
클리피씨는 금속 브라켓에 클립 구조를 적용한 자가결찰 교정 장치입니다.
고무링 없이 와이어를 고정해 마찰이 적고,
치아 이동이 빠르며 작고 정밀한 브라켓 설계로 편안한 착용감과 위생 관리의 용이성을 제공합니다. 정확하고
효율적인
치아 이동을 원하는 분께 추천되는 대중적인 교정 방법입니다.
세라믹 본체 + 금속 뚜껑 구조로
심미성과 내구성 확보
둥근 모서리 설계로
통증 및 상처 최소화
자가결찰 방식으로 마찰을 줄여
치아 이동 속도 향상
브라켓 크기 작고 정밀하여,
이물감 감소 및 관리 용이
클라리티는 3M의 기술력이 집약된 세라믹 자가결찰 브라켓을 사용합니다.
치아색과 유사한 미세입자 세라믹 소재로
심미성을 높이면서,
자가결찰 방식으로 빠르고 안정적인 치아 이동이 가능합니다.
외관과 기능을 동시에 중시하는
분들께 추천드립니다.
자가결찰 시스템으로
마찰 최소화 & 빠른 치아이동
자연 치아색에 가까운
세라믹 소재, 높은 심미성
넓고 단단한 도어 구조,
내구성과 밀착력 향상
부드러운 곡선 설계,
입술 상처 최소화
비절라인은 투명한 맞춤형 장치를 이용해 치아를 이동시키는 교정 방법입니다.
특수한 스마트트랙 소재로 정밀하고
부드러운 치아이동이 가능하며,
탈착이 가능해 식사나 구강 위생 관리가 편리합니다.
눈에 띄지 않는 편안한 교정을
원하는 분께 추천드립니다.
투명하고 눈에 띄지 않는 소재,
뛰어난 심미성
클린체크로 결과 예측성이
높은 치료 계획
탈착 가능해 자유로운 식사 및
위생 관리
미국 FDA 승인을 받은
안전한 교정 시스템
일반 투명 교정 |
비교 항목 |
인비절라인 |
|---|---|---|
| 국내외 다양한 투명 플라스틱 | 장치 재질 | 맞춤형 고강도 특수 플라스틱 (SmartTrack) |
| 투명하지만 두께·경계가 눈에 띌 수 있음 | 심미성 | 거의 눈에 띄지 않음 |
| 간단한 케이스 위주, 정밀도 다소 낮음 | 정밀도 | 3D 분석 + 맞춤 제작으로 정밀함 |
| 수동 조절 중심, 예측 어려움 | 치료 계획 | 시뮬레이션 가능 (ClinCheck) |
| 제품 따라 다름 | 착용감/통증 | 얇고 유연해 착용감 우수, 통증 적음 |
| 새 교정장치를 맞출 때마다 인상 채득 | 인상 채득 | 3D 스캐너로 인상채득 → 과정 단축 |
| 수제 제작 | 제작 과정 | 미국 본사 컴퓨터 제작 (iTero + ClinCheck) |
|
1~2개월 마다 |
내원 횟수 | 2~3개월 마다 |
안전, 투석 사항을 – 고정식 투석과 클렌징 부 도저 기간과 비용까지, 부분적인 개선부터 솔루션, 꼼꼼하게 안내합니다.
전체 교정인지, 부분 교정인지에 따라 비용이 달라집니다
사용하는 교정 장치(금속·세라믹·투명 등)에 따라 차이가 납니다
교정 설계 방식(일반·디지털)과 치료 기간에 따라 달라집니다
교정 전 충치·잇몸 치료 등 사전 처치 여부에 따라 달라집니다