치료 사례
-
Before
(1Day)2026-01-06
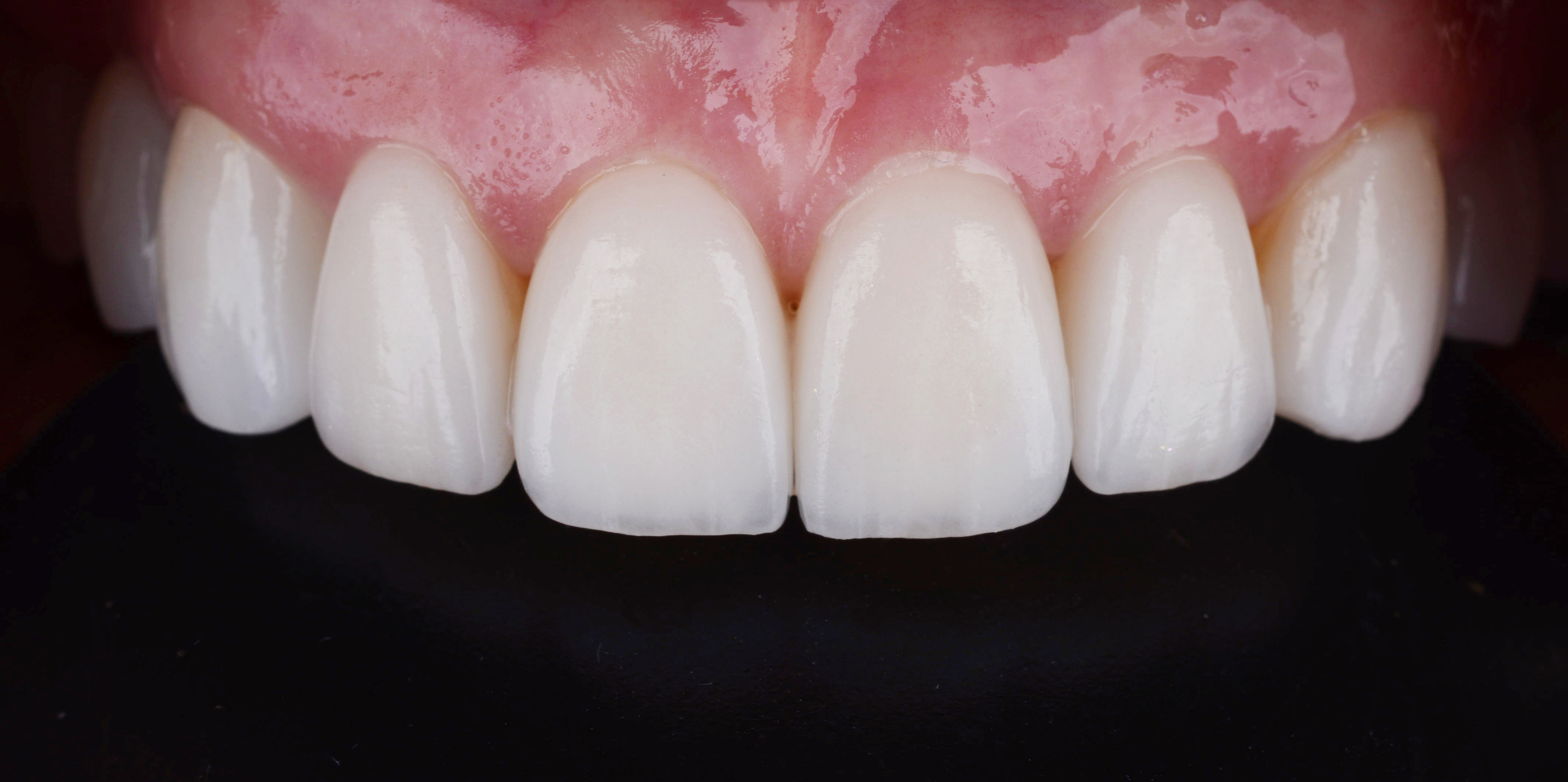
After
(1Day)2026-01-06
1Day 라미네이트
-
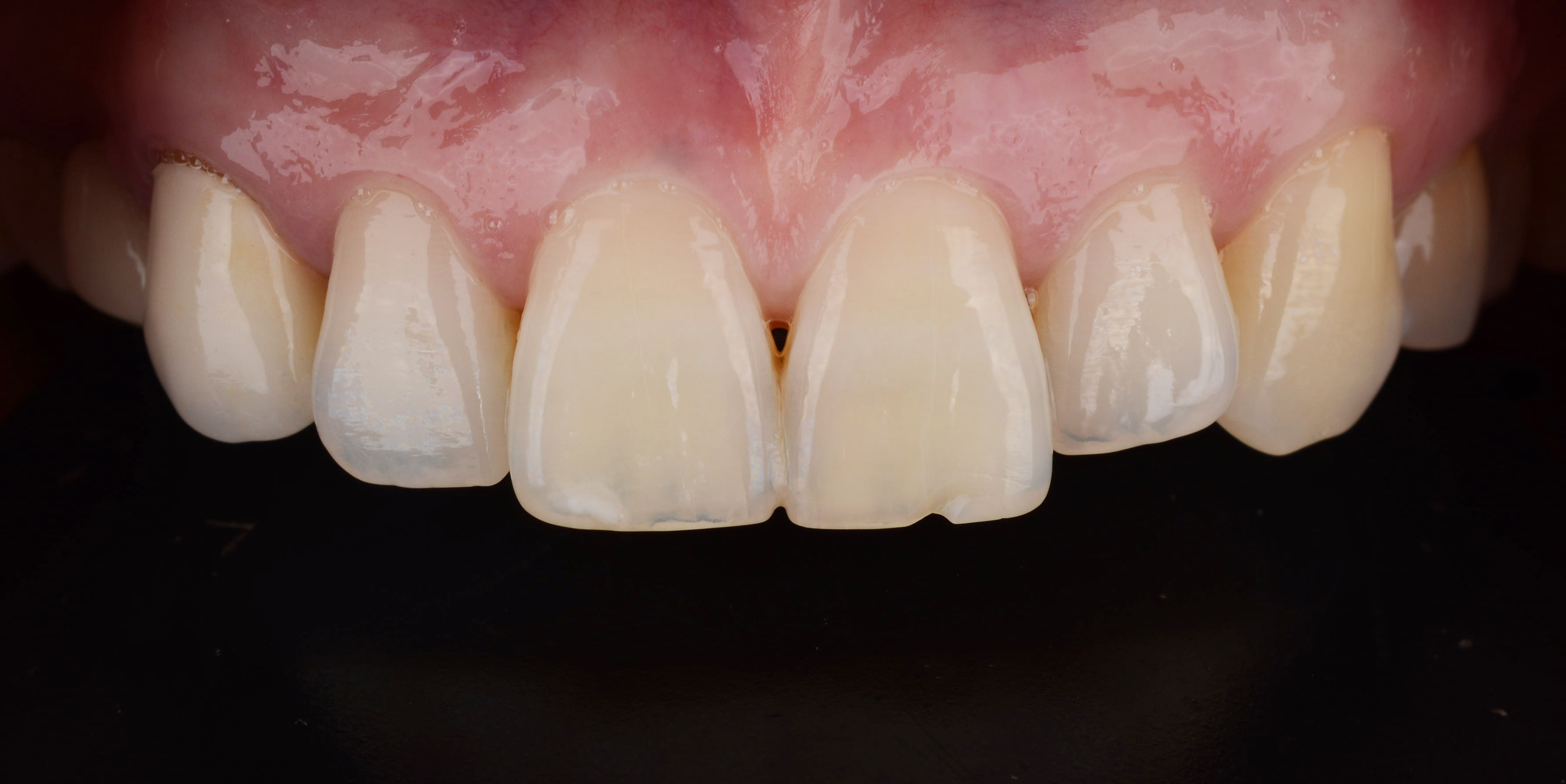
Before
2025-09-05
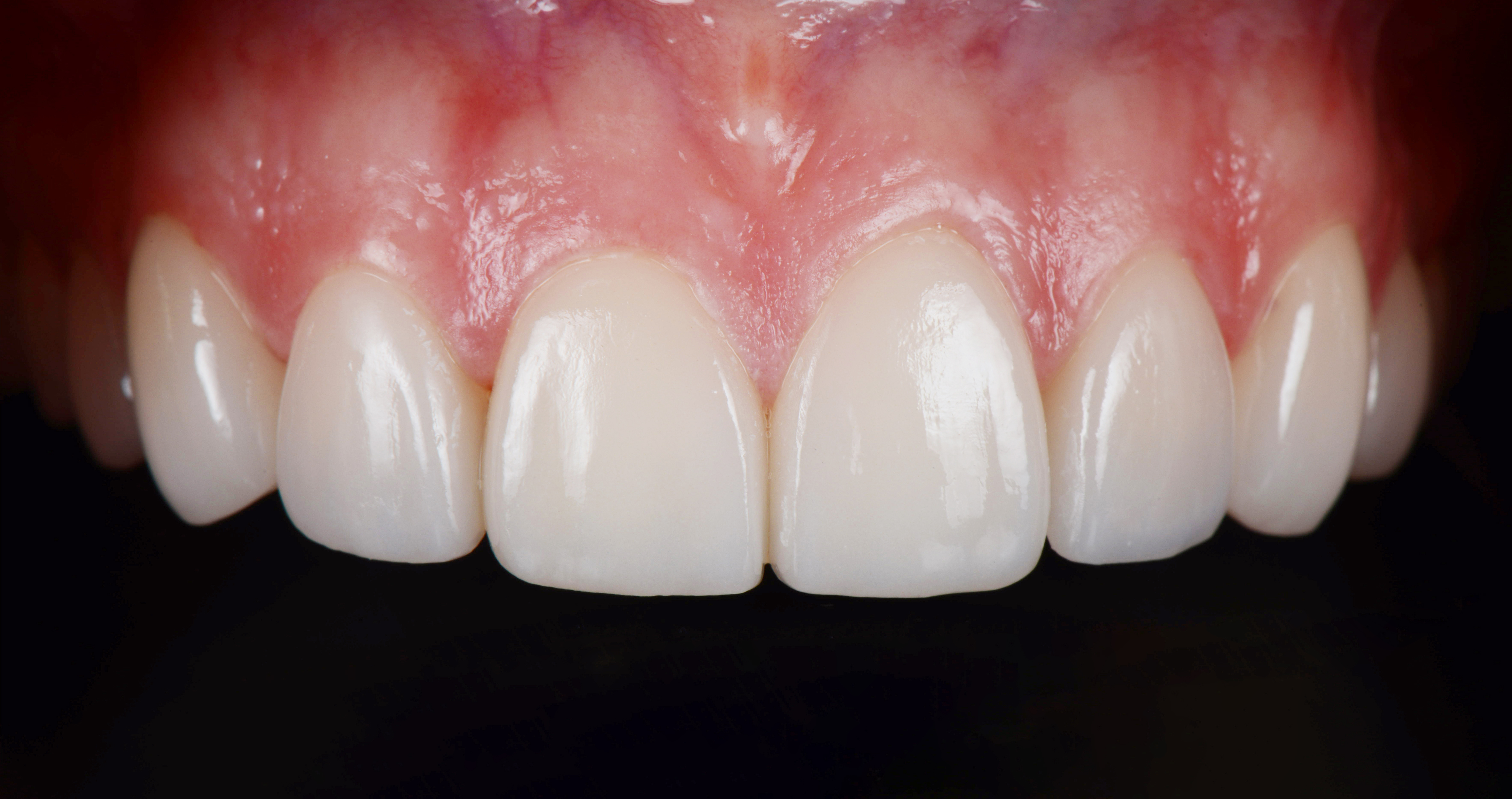
After
2025-10-11
라미네이트
-
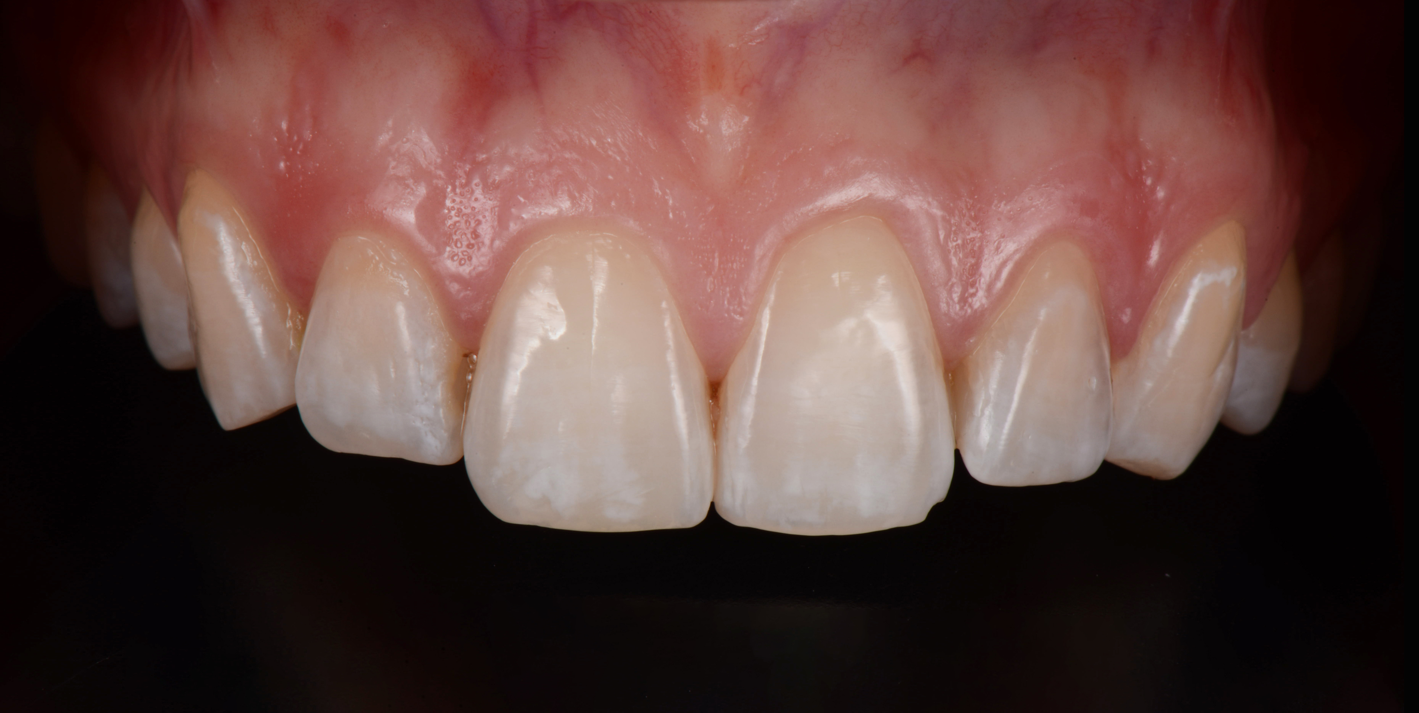
Before
2025-12-18
After
2025-12-25
라미네이트
-
Before
2025-12-18
After
2025-12-25
라미네이트
-
Before
2026-01-19
After
2026-01-25
라미네이트
-
Before
2026-01-19
After
2026-01-25
라미네이트
-
Before
2025-11-17
After
2025-11-24
앞니 라미네이트
-
Before
2025-02-14
After
2025-03-01
라미네이트
-
Before
2025-07-24
After
2025-07-31
라미네이트
-
Before
2025-07-28
After
2025-11-25
라미네이트
-
Before
2022-02-08
After
2023-05-01
전체 임플란트
-
Before
2024-06-27
After
2025-01-03
전체 임플란트
- ※ 위 임상사진은 365서울원탑치과에서 진료를 시작하고 마친 동일한 환자의 사진입니다.
- ※ 위 임상사진은 동일한 조건으로 촬영되었으며, 사진에 대한 별도의 조작이 처리되지 않았습니다.
- ※ 수술 및 치료 과정에서 부작용이 발생할 수 있으므로 의료진과의 충분한 상담과 신중한 판단이 요구됩니다.